


近日,潍坊市人民医院神经外五科成功切除巨大听神经瘤一例,术后患者面神经功能保留完好。

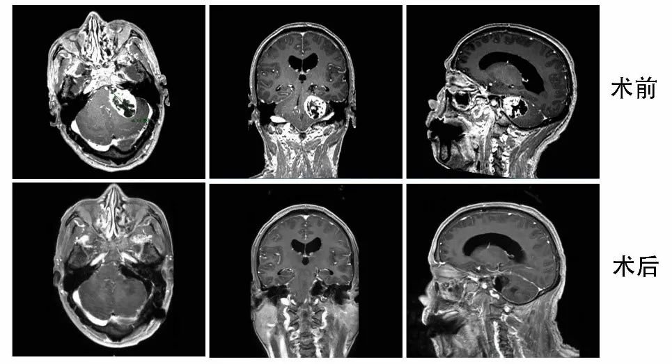
患者陈先生因左侧听力下降5年,伴间断头晕2年来诊。门诊行颅脑CT提示左侧桥小脑角区占位,于神经外五科住院治疗。入院后行颅脑MRI检查提示左侧桥小脑角区巨大占位,最大直径为4.6cm,同侧内听道扩大,四脑室及小脑脑干受压移位明显,幕上出现脑积水趋势,考虑巨大听神经瘤。

神经外五科主任王喆团队进行仔细术前讨论,结合患者病史及影像学检查,考虑左侧巨大听神经瘤,肿瘤体积大且已压迫周围脑干、小脑及四脑室,幕上脑室有扩张趋势,手术指征明确,如不积极手术治疗,将会导致急性梗阻性脑积水危及生命。患者入院完善术前检查后,在神经电生理监测下顺利完成手术,术中面神经完整保留,肿瘤切除满意,术后患者恢复良好,面神经功能保留完好,已顺利出院。
供稿│神经外五科 苗俊杰