



“67了,这俩月看东西重影,这是老了的事?还有个不得劲的,光头晕,天旋地转的。上医院看了看,大夫说有个瘤子,这怎么办啊?我打听了打听,可太吓人了,还得开开头盖骨。”患者刘阿姨(化名)吓坏了。
能不能不开颅啊?
常规手术和内镜颅底手术有啥区别?
中颅底区域病变的手术常规以开颅手术为主,根据肿瘤部位及生长方式,经常采用的手术入路包括:颞下入路(如经典 Kawase硬膜外入路)、翼点入路、额颞眶颧入路、乙状窦前入路等。为获得足够暴露和操作空间,这些传统入路手术常需要不同程度牵拉脑组织,易造成脑组织和颅神经的损害,以及脑脊液漏、感染等并发症。
与传统颅底外科相比,内镜颅底外科手术利用颅底自然腔隙显露并切除肿瘤,具有微侵袭、无需开颅、脑组织无牵拉等优点,经鼻内镜颅底外科技术现已成为处理颅底中央区肿瘤如垂体瘤、脊索瘤等的主要方式。随着对内镜颅底解剖的研究进展及技术进步,近年来,对于颅底旁中央区域病变,如Meckel’s腔、岩斜区等部位的肿瘤,内镜颅底外科手术得到越来越多的关注,并取得了较为满意的效果。
从鼻子切脑子里的肿瘤
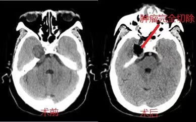
患者复查颅脑MR平扫+强化提示“右侧中颅窝肿瘤增大,向后侵犯后颅窝”。神经外五科团队术前讨论认为,该病例按常规方法可选择颞下入路开颅肿瘤切除术,但鉴于该病灶位于中颅底内侧,累及Meckel’s囊,以选择经鼻内镜下肿瘤切除术为更好。
经充分术前准备后,在科主任王喆带领下采取经鼻-筛-翼突入路侧颅底肿瘤切除术。术中磨除部分上颌窦,翼突和蝶窦骨质,依据解剖结构精确定位,直抵病灶,切开硬脑膜后,细致地分离并分块切除肿瘤,保护三叉神经,小心地分离肿瘤与颈内动脉地粘连,发现肿瘤起源于三叉神经半月节,与其粘连紧密。肿瘤切除后,空腔填塞患者自体脂肪,以鼻中隔粘膜瓣进行颅底重建,鼻腔填塞碘仿纱条。患者恢复顺利。


(来源:“潍坊市人民医院”微信公众号)