
近日,潍坊市人民院关节外科二区成功为人工膝关节置换手术后假体松动患者,运用3D打印技术定制术前模型,实施了精准医疗下的人工全膝关节翻修术。
人工全膝关节翻修术是指膝关节实施人工关节置换术后,因各种原因出现松动、磨损、感染等改变,需再次手术进行膝关节翻修手术。相比初次置换手术,人工全膝关节翻修术因其难度大、技术要求高,成为了目前衡量关节外科技术水平的公认标准。
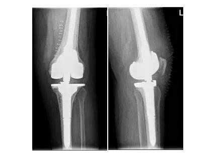
今年68岁的胡阿姨来自青州农村,2016年前因做膝关节骨性关节炎,在当地医院实施了人工膝关节置换术。近4个月来,胡阿姨出现左膝部疼痛、跛行,活动受限,膝关节活动受限。随着疼痛逐渐加重,在当地医院治疗均未能解决,经打听后来到我院关节外科二区就诊。主任医师张益民、副主任医师曹学军等接待了她,经全面、系统检查,诊断胡阿姨的关节在初次置换手术后假体发生了松动并伴有严重的骨量流失。考虑到胡阿姨年事已高,且伴有严重的骨量流失,如果采取保守治疗需要长期卧床,身体各项指标都会受到严重影响,不仅不能保证以后的生活质量,还有可能引发肺部感染、静脉血栓形成、褥疮等并发症。因此,关节外科二区医师团队决定为胡阿姨实施左侧人工全膝关节翻修术。
该人工全膝关节翻修手术比初次置换手术难度系数大且复杂,风险高、创伤大,而且患者骨缺损严重,这为手术又增添了一层难度。为此医师团队决定先行膝关节3D打印技术,打出一个1:1的膝关节模型,先在模型上面完善手术的步骤,以确保手术过程精准又顺利进行。

医师团队充分讨论病情,研讨最佳治疗方案,完善一切术前准备工作后,在科室专家团队的通力配合下,成功为胡阿姨实施了左侧人工全膝关节翻修手术。
术后,在科室护理团队运用ERAS理念的精心护理康复治疗下,胡阿姨恢复良好,也无明显不适。

当术后迈出第一步的时候,胡阿姨先前焦虑又紧张的脸上露出了久违的笑容,她激动地对医生说:“以前每走一步路,都疼的要命,现在一点儿都感觉不到疼了,早知道手术效果会这么好,我何苦受了这么久的罪啊!”
(关节外科二区 王聪聪 曹学军)
免责声明:本文为企业宣传商业资讯,仅供用户参考,如用户将之作为消费行为参考,凤凰网敬告用户需审慎决定。