


在癌症及肿瘤相关疼痛的诊疗探索中,阳光融和医院肿瘤介入科始终坚持以患者感受为出发点,围绕“如何减轻痛苦、改善生活质量”这一核心问题,持续开展多学科协作与技术研究。
01【困境】六旬老人的疼痛与求索
62岁的魏大爷,因胰腺癌并伴有多发骨转移,长期承受严重疼痛。持续的疼痛不仅影响了他的行动能力,也让日常生活变得异常艰难。
面对复杂的病情变化,患者及家属在多方咨询后,慕名来到阳光融和医院,希望能够依靠这里先进的技术缓解病痛。
02【破局】氩氦刀“极寒”技术精准出击
在接诊过程中,孙继泽主任带领团队结合患者影像学资料、疼痛评估情况及整体身体状态,组织开展了多学科讨论,围绕肿瘤相关疼痛的干预策略进行了充分评估。
在综合分析基础上,团队就氩氦刀冷冻技术在骨转移疼痛管理中的应用进行了技术层面的探讨,并制定了相应的治疗方案。

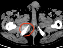
▲ 术前PET提示右侧坐骨转移

▲ 术前CT检查提示多发骨转移
什么是氩氦刀?
氩氦刀冷冻技术是一种以影像引导为基础的微创介入方式。
氩氦刀技术通过精准靶向定位,将病变组织快速冷冻至 -140℃ 以下,在“低温消融”肿瘤细胞的同时,最大程度保护周围正常组织与神经。
尤其针对癌症转移引发的 “顽固性疼痛”,能实现 “快速镇痛、微创恢复” 和提高患者免疫力的双重效果。
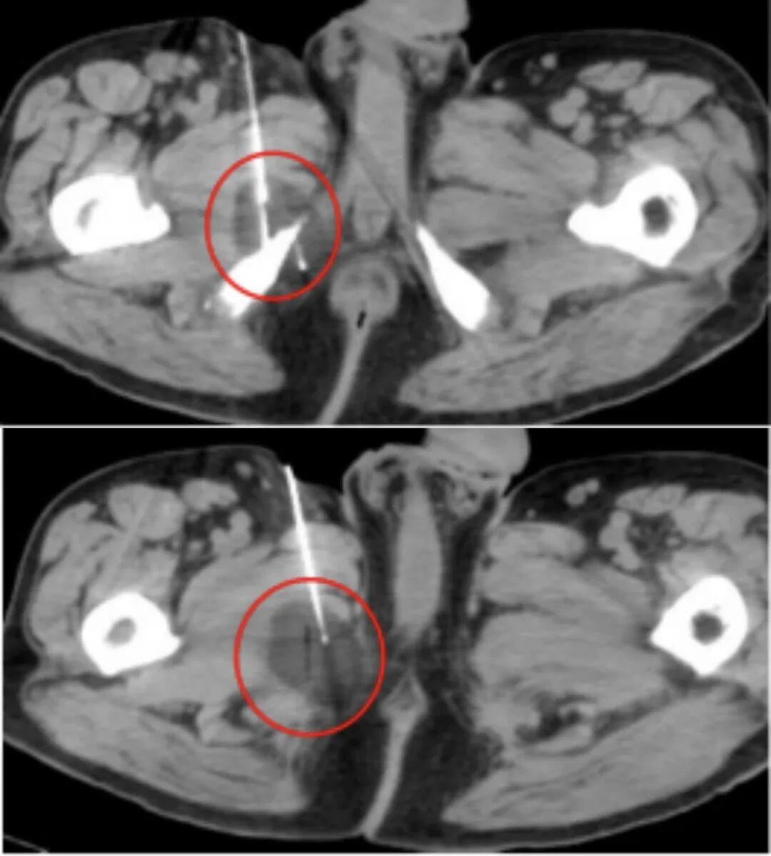
在手术实施过程中,医疗团队密切配合,在影像监测下完成相关操作。


术中情况

冷冻后,CT扫描显示冰球覆盖肿瘤,消融范围边界清晰。
03【回归】从卧床不起到笑对生活
术后第一天: 患者反应 “腿不钻心疼了,能轻轻动一下了”;
术后第五天: 他已能在家人搀扶下坐起;
术后半个月后: 更是能慢慢迈步行走,不仅能自己端碗吃饭、穿脱衣物,如今每天在家里溜达。
脸上重新露出了久违的笑容,逢人就说:
“是阳光融和医院给了我第二次‘站着生活’的机会”
这次诊疗过程,是阳光融和医院肿瘤介入科在肿瘤相关疼痛管理领域的一次实践记录,也体现了多学科协作在复杂病例中的重要价值。
未来,阳光融和医院将继续围绕精准医疗与人文关怀并重的发展方向,持续优化诊疗流程,深化技术研究,在保障医疗安全的前提下,为患者提供更加细致、周到的医疗服务支持。