


“医生你好,我的胸部CT发现肺上有个结节,这几天吓得我都睡不着觉了,你快看看需不需要吃药?该不该动手术?我是不是得肺癌了?”
这是肺结节多学科门诊最常见的问题,也同样是其他查体发现肺部结节的患者的疑惑。
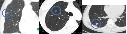
肺结节是指影像学(CT/X线)上表现为直径≤3cm的局灶性、类圆形、密度增高的肺部阴影。随着人们健康意识的提高和检查设备的不断先进,肺结节在健康人群查体中的检出率在50%-60%左右,且呈现年轻化态势,大多数肺结节为良性病灶,只有约3%-5%的肺结节为恶性结节,即肺癌。
肺癌是目前全球范围内发病率与死亡率均高居榜首的恶性肿瘤,且发病率正在向中年和年轻群体转移,早期肺癌手术切除后5年生存率达95%以上,中晚期肺癌生存率呈断崖式下降,且治疗花费巨大,生存质量较差。

什么样的结节可以观察,什么样的结节需要处理,阳光融和医院肺结节多学科门诊将结合肺部结节的影像表现和患者的个体差异情况为您提供最合理的诊疗方案,让您避免紧张焦虑情绪也无需花“冤枉钱”过度治疗。
肺结节怎么来的
肺结节的成因大多与以下因素有关:
1、肺部长期受吸烟、二手烟、粉尘、烟尘、石棉、絮及空气污染等影响;
2、肺部患有慢性疾病,如肺气肿、肺结核;
3、遗传因素,有肿瘤家族史者易形成高危结节;
4、肺部良性病变,如良性肿瘤(错构瘤、硬化性血管瘤等),炎性结节病灶,特殊感染灶(真菌球,结核球等);
5、早期肺癌,以腺癌居多。

高危结节有哪些影像表现
高危结节通常伴随有特征性影像表现,最常见的为毛刺,分叶,血管集束征,胸膜凹陷,空泡征等。具备以上影像表现的结节大多为恶性结节,需重点关注,防止延误病情。
需要注意的是,有些炎性结节病灶与高危结节形态相近,但炎性病变多位于胸膜下、肺裂旁等位置,基底较宽,毛刺较长。经抗炎治疗后病灶会缩小、变淡甚至完全吸收。


发现肺结节后怎么处理
1、结节长径≤4mm时,无须特殊处理,保持每1-2年体检一次的频率即可;
2、结节长径为4-6mm时,需每年复查一次,观察大小或密度有无变化;
3、结节长径为6-8mm时,应将复查周期定为3-6个月,如果复查2-3次后无变化,可以将复查周期延长至9-12个月;
4、长径>8mm的小结节,建议每3月复查,实性结节可进一步完善增强CT,有条件的可行PET-CT检查。针对有典型高危影像表现者,可行抗炎治疗后复查或胸腔镜微创手术。
胸腔镜微创手术是阳光融和医院胸部外科代表性诊疗项目。现阶段已经发展到仅需要3-4cm的小切口就可以完成手术。随着三维重建、术前定位技术的发展,针对肺部结节的手术也从之前的肺叶切除发展到肺段甚至亚肺段切除。切口越来越小,肺损伤越来越少,术后恢复越来越快。

在此特别提醒各位查体发现肺结节的朋友:发现肺部结节不要紧张、焦虑,不要随便听信所谓的“偏方、秘方”,一定要到正规医院的肺结节门诊或胸外科门诊就诊咨询,以求得到最合理、科学的治疗方案。要按照医生告知的方法及时处理或定期复查,不能放任不管,也不可过度治疗。
肺结节门诊位置:医院门诊3楼东侧C区胸部外科门诊,联系电话:0536-5039020。
文章来源:阳光融和医院胸部外科 李浩然